© raystation
Elektronikproduktion |
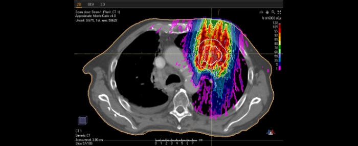
Fortsatta försäljningsframgånger för Raystations protonplanering
Ytterligare åtta protonterapicentra i olika delar av världen har valt RayStation som dosplaneringssystem.
Sex av beställningarna inkom i juni 2017, från Children’s Cancer Hospital Foundation (Kairo, Egyptien), Hospital Quirónsalud (Madrid, Spanien); Mayo Clinic Hospital (Phoenix, USA); ZON-PTC (Maastricht, Nederländerna); MedStar Georgetown University Hospital (Washington DC, USA) och Johns Hopkins Medicines protoncenter vid Sibley Memorial Hospital (Washington DC, USA). RayStation valdes även nyligen ut av Tata Memorial Center i Mumbai, en av de första klinikerna i Indien som utför protonterapi, och av PLA General Hospital i Peking, Kina. Hittills har totalt 35 protoncentra köpt in RayStation, vilket motsvarar över hälften av alla protoncentra som finns i världen idag.
De senaste åtta protonterapicentra representerar flera olika typer av sjukhusmiljöer och utrustningar. RayStation kommer att användas tillsammans med systemen IBA Proteus Plus och Proteus One, Mevion med Hyperscan, och Hitachi ProBeat.
Alla centren får den senaste versionen av RayStation, som inkluderar innovativa funktioner som snabb optimering och dosberäkning med Monte Carlo för pencil beam-skanning (PBS), möjligheten att kombinera PBS med aperturer, och robust optimering/4D-CT-optimering för planering av proton- och koljonterapi. Alla inköp omfattar såväl kliniska licenser som licenser för forskning.




